Intraductal Breast Papilloma: Etiology, Clinical Presentation, Diagnosis and Treatment

This article is for informational purposes only

The content on this website, including text, graphics, and other materials, is provided for informational purposes only. It is not intended as advice or guidance. Regarding your specific medical condition or treatment, please consult your healthcare provider.

Intraductal papilloma is a benign mass located in the mammary ducts, which develops as a result of abnormal overgrowth of epithelial cells.

Intraductal papilloma
Intraductal papilloma: 3D model
3D animation: intraductal papilloma

Intraductal papillomas may be solitary or multiple and located in any quadrant of the breast but are most commonly localized centrally behind the nipple, affecting the central duct.

Risk factors for developing intraductal papilloma:

  • Hormonal imbalance;
  • Associated endocrine diseases (obesity, diabetes mellitus, thyroid disorders);
  • Taking oral contraceptives;
  • Hormone replacement therapy with estrogen-containing agents;
  • Hereditary predisposition.

Etiology and pathogenesis of intraductal papilloma

The development of intraductal papilloma is based on hormonal imbalance, namely the increased sensitivity of breast tissue to estrogen and its hyperproduction.

Hyperestrogenaemia triggers proliferation of breast ductal epithelial cells, leading to hyperplasia of breast tissue and ductal dilation. As a result of these processes, papillary outgrowths are formed in the lumen of the duct, which are intraductal papilloma.

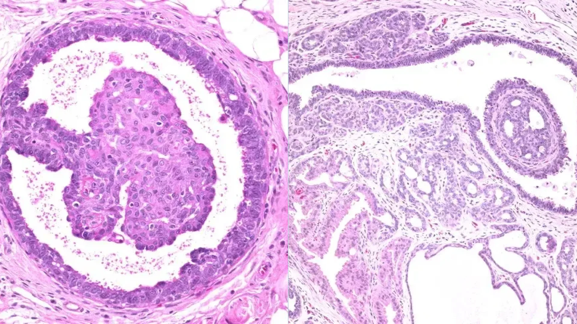
Morphological presentation

Intraductal papilloma can be central (usually solitary and large in size) and peripheral (small in size, may be multiple). Histologically, they are characterized by the presence of a fibrovascular rod covered with epithelial and myoepithelial cells (true papillae).

Morphological presentation of intraductal papilloma
Morphological presentation of intraductal papilloma. Source: Webpathology. Intraductal Papilloma [8]

Intraductal papilloma may erode and sclerotize, but atypical proliferation, squamous cell or apocrine metaplasia with subsequent malignisation and development of ductal breast cancer is also possible.

Clinical presentation

Clinical manifestations of intraductal papilloma depend on its size and localization.

Peripheral intraductal papillomas are usually asymptomatic and detected by screening ultrasound.

Central intraductal papillomas are characterized by the following symptoms:

  • A yellowish-transparent to red-brown (bloody) nipple discharge is the most common symptom;
  • Presence of a palpable mass in the areolar region behind the nipple.

Diagnosis of intraductal papilloma

  1. Medical history, examination and palpation of breasts.
  2. Breast ultrasound and peripheral lymph nodes: a mass protruding into the lumen of the duct or cystic cavity is visualized.
  3. Mammography in most cases is uninformative and is used as a method of clarifying diagnosis when ductal breast cancer is suspected. Radiologically, an intraductal papilloma may be defined as a rounded mass with clear, even contours, similar to a cyst, but of higher density.
  4. Ductography is used to clarify the diagnosis. On radiographs, after contrast agent injection, duct dilation and deformity, irregularities of contours with the presence of contrasted formations and filling defect (disruption in the contrast enhancement pattern) are determined.
  5. MRI is used for clarifying diagnosis. Intraductal papillomas are characterized by the presence of a well-defined rounded mass on MRI, isointense or slightly hypointense in T1-mode, and well accumulating contrast in T2-mode.
  6. Cytological examination of nipple discharge.
  7. Fine-needle aspiration biopsy of the tumor.
  8. Core needle biopsy of the tumor.
Intraductal papilloma on ultrasound image
Intraductal papilloma on ultrasound image. Author: Bruno Di Muzio. Source: Radiopaedia [11]
Mammography of the left breast in two projections: intraductal papilloma
Mammography of the left breast in two projections: intraductal papilloma. Author: Ammar Ashraf. Source: Radiopaedia [11]

You can see radiographs and MRI images illustrating an intraductal papilloma below. Authors: Mohammad Taghi Niknejad, Bahman Rasuli. Source: Radiopaedia [11]:

Treatment of intraductal papilloma

Intraductal papilloma should be treated surgically due to the high risk of malignization. A sectoral resection of the breast (lumpectomy) with subsequent histological examination of the removed material is indicated.

FAQ

1. What are the causes and risk factors for developing intraductal papilloma?

The main cause of development is hormonal imbalance, namely hyperestrogenaemia (increased estrogenic levels), which triggers abnormal proliferation of epithelial cells in the ducts. Key risk factors include any condition associated with this imbalance: endocrine diseases (obesity, diabetes mellitus), taking oral contraceptives or hormone replacement therapy, and hereditary predisposition.

2. What are the main symptoms of intraductal papilloma?

Clinical presentation depends on the localization. Peripheral papillomas are often asymptomatic. For central ones located near the nipple, the most typical symptom is nipple discharge. Discharges can range in color from yellowish-transparent to bloody (red-brown). Less frequently, a small mass in the areola region may be palpated.

3. Is an intraductal papilloma considered cancer, and what is the risk of malignization?

No, the intraductal papilloma itself is a benign mass. However, it is considered a precancerous condition or, more specifically, a mass with an increased risk of malignant transformation. Its cells can develop atypical proliferation, which is a precursor to ductal carcinoma in situ (DCIS). It is because of this risk of malignization that the management strategy for these patients is surgical.

4. What treatment is indicated for intraductal papilloma?

Intraductal papilloma is subject to mandatory surgical treatment. Non-surgical therapy and observation strategy are not indicated because of the risk of malignization. The standard surgery is sectoral resection of the breast (lumpectomy): excision of the duct together with the papilloma within healthy tissues. The removed material is necessarily sent for histological examination to exclude cancer.

5. Can an intraductal papilloma disappear or go away on its own without treatment?

Theoretically, the papilloma may undergo spontaneous necrosis and sclerosis (replacement by scar tissue). However, given that any papilloma can hide a focus of atypia or already developed cancer, the wait-and-see strategy is not applied. Relying on the mass to go away on its own is clinically unjustified and dangerous. A diagnosed intraductal papilloma is a direct indication for surgery.

6. What is the prognosis for intraductal papilloma after treatment?

After complete surgical removal, the prognosis is usually excellent. If histological study results show no atypia or signs of cancer in the removed material, the patient is considered healthy. However, having a history of papilloma may slightly increase the overall risk of developing breast cancer in the future, requiring regular follow-up with a mammologist.

References

1.

VOKA Catalog. [Electronic resource].

https://catalog.voka.io/

2.

A. V. Anisimov (А. В. Анисимов). BI-RADS system for ultrasound: description, classification, illustrations (Система BI-RADS для УЗИ: описание, классификация, иллюстрации). \[Article in Russian] [Electronic resource].

https://www.medison.ru/si/art434.htm

3.

A. N. Sencha. Breast ultrasound. Step by step. From simple to complex. (А. Н. Сенча. Ультразвуковое исследование молочных желез. Шаг за шагом. От простого к сложному.) \[Book in Russian] 2nd edition.

4.

A. N. Sencha, Yu. V. Bikeev. Ultrasound examination of mammary glands. Atlas. (Сенча А. Н., Бикеев Ю. В. Ультразвуковое исследование молочных желез. Атлас.) \[Book in Russian]

5.

S. K. Ternovoy, A. B. Abduraimov. Radiation mammology. (С. К. Терновой, А. Б. Абдураимов. Лучевая маммология.) \[Book in Russian]

6.

Pathology Outlines. [Electronic resource].

https://www.pathologyoutlines.com

7.

Leithner D., Wengert G.J., Helbich T.H., Thakur S., Ochoa-Albiztegui R.E., Morris E.A., Pinker K. Clinical role of breast MRI now and going forward. [Electronic resource].

https://www.clinicalradiologyonline.net/article/S0009-9260(17)30521-4/fulltext

8.

Webpathology. Intraductal Papilloma. [Electronic resource].

https://www.webpathology.com/

9.

E. A. Oksanchuk, E. V. Meskikh, T. V. Sherstneva, V. O. Kleshneva, M. A. Ershtein. Possibilities of the radiation method in the diagnosis of intraductal papilloma.

10.

Intraductal Papilloma. Allen Li; Lindsey Kirk. [Electronic resource].

https://www.ncbi.nlm.nih.gov/books/NBK519539/

11.

Radiopaedia. [Electronic resource].

https://radiopaedia.org/

0:00 / 0:00
0:00 / 0:00

Summarize article with AI

Choose your preferable AI assistant:

Link successfully copied to clipboard

Thank you!

Your message is sent!
Our experts will contact you shortly. If you have any additional questions, please contact us at info@voka.io